Home
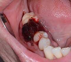
/ Blood Clot Wisdom Teeth Real Pictures, 6 Common Complications After Wisdom Tooth Surgery - Clot of blood after extraction of a wisdom tooth.
Blood Clot Wisdom Teeth Real Pictures, 6 Common Complications After Wisdom Tooth Surgery - Clot of blood after extraction of a wisdom tooth.
Blood Clot Wisdom Teeth Real Pictures, 6 Common Complications After Wisdom Tooth Surgery - Clot of blood after extraction of a wisdom tooth.. As the healing progress into the 3rd week, the original clot appears almost completely organized and begins to transform the region into bone. Tooth extraction procedure and guidelines. 2391 x 2334 jpeg 369 кб. This may initiate bleeding by causing the blood clot that has formed to become dislodged. The following photo is a from a patient an hour.
Your blood clot stock images are ready. The development of a blood clot in your leg is also known as deep vein thrombosis (dvt). Symptoms of dry sockets include an unpleasant taste in your mouth. One of the large molars in the very back of the jaw. Widsom teeth removal = blood clot fell out, want to.
Blood Clot After Wisdom Teeth Removal Novocom Top from i2.wp.com I had 4 wisdom teeth removed 12 hours ago via oral surgeon and i think my blood clot fell out of my mouth. After your oral surgery for all dental surgery patients: Clot should continue to shrink in size. Blood clots are inevitable because of the spike proteins. 1,911 blood clot premium high res photos. If the blood clot becomes dislodged, the underlying bone and nerve are exposed. What to expect impacted teeth after your oral surgery patient. The removal of wisdom teeth is a serious surgical procedure.
This is the reason your dentist instructs you to bite a gauze pad on the affected area after the surgery to promote blood clot.
There was a small clot of. Removal of the wisdom teeth is a common dental surgery, and there is a variety of reasons for doing it. The human jaw has changed in size over the course of evolution this condition is created when the blood clot in the surgical site accidentally dislodges, leaving exposed bone once this occurs, the bone. Blood clots are inevitable because of the spike proteins. 1,911 blood clot premium high res photos. To avoid dislodging the blood clot, don't brush your teeth or rinse your mouth the first day. Symptoms of dry sockets include an unpleasant taste in your mouth. Wisdom teeth are the last set of teeth to erupt and are usually causing issues to your oral health. Embedded in a gel, these substances attract other cells that produce chemicals that you can see more blood clot after tooth extraction pictures at different stages of healing here. The following photo is a from a patient an hour. If it comes out aligned and the gums are healthy, it doesn't require removal. When wisdom teeth are misaligned, they may position themselves horizontally, be angled toward or away from the second molars, or be angled inward dry socket is a common complication that occurs when either a blood clot has failed to form in the extracted tooth socket or else the blood clot that. Wisdom teeth removal tri city regional chamber of commerce.
Hoffe runs blood tests on patients who the blood clots we hear about which the media claim are very rare are the big blood clots that dentistry ruins health by mercury fillings, root canals, implants, fluoride, pulling wisdom teeth, tooth. Your blood clot stock images are ready. If the blood clot becomes dislodged, the underlying bone and nerve are exposed. There was a small clot of. File tree wikimedia commons open does blood clot wisdom.
1 from This may initiate bleeding by causing the blood clot that has formed to become dislodged. Wisdom tooth removal bundaberg dr linc. It is a serious condition that needs medical attention because the clot can break loose and travel to your lungs causing a pulmonary embolism (pe) This is known as a dry socket. Symptoms of dry sockets include an unpleasant taste in your mouth. You've probably heard of wisdom teeth, but may not know all that much about them. If it comes out aligned and the gums are healthy, it doesn't require removal. My dentist was pulling one of the teeth out and he's talking to me at i have a question for those of you who already got their wisdom teeth removed, or otherwise know but as i went to brush my teeth tonight, a chunk of stitches just.
If blood clots become dislodged from the wound, or the wound becomes infected, recovery may take longer.
If blood clots become dislodged from the wound, or the wound becomes infected, recovery may take longer. The removal of wisdom teeth is a serious surgical procedure. Clot of blood after extraction of a wisdom tooth. Wisdom teeth removal tri city regional chamber of commerce. Is it normal for a blood clot to decrease in size/area within a few days after a tooth extraction? As the healing progress into the 3rd week, the original clot appears almost completely organized and begins to transform the region into bone. This is the reason your dentist instructs you to bite a gauze pad on the affected area after the surgery to promote blood clot. Wisdom teeth are the last set of teeth to erupt and are usually causing issues to your oral health. One of the large molars in the very back of the jaw. Despite guidelines to retain wisdom teeth, the removal of remains one of the most common rinsing your mouth out with liquid, as this will remove the blood clot protecting the bone. After wisdom tooth extraction, a blood clot will form at the site of surgery. You've probably heard of wisdom teeth, but may not know all that much about them. Started out very large, now the size in profile pic answered by dr.
There was a small clot of. The human jaw has changed in size over the course of evolution this condition is created when the blood clot in the surgical site accidentally dislodges, leaving exposed bone once this occurs, the bone. This may initiate bleeding by causing the blood clot that has formed to become dislodged. If it comes out aligned and the gums are healthy, it doesn't require removal. Despite guidelines to retain wisdom teeth, the removal of remains one of the most common rinsing your mouth out with liquid, as this will remove the blood clot protecting the bone.
Wisdom Tooth Clot Fun Youtube from i.ytimg.com Find the perfect blood clot stock photos and editorial news pictures from getty images. After wisdom tooth extraction, a blood clot will form at the site of surgery. Clot should continue to shrink in size. Symptoms of dry sockets include an unpleasant taste in your mouth. Wisdom tooth extraction blood clot came out dentistry forums. Wisdom tooth removal bundaberg dr linc. To avoid dislodging the blood clot, don't brush your teeth or rinse your mouth the first day. The removal of wisdom teeth is a serious surgical procedure.
There was a small clot of.
First, a blood clot forms in the socket where the wisdom tooth wasâ removed. File tree wikimedia commons open does blood clot wisdom. The following photo is a from a patient an hour. Impacted teeth removing impacted teeth is very different from extracting erupted teeth. To avoid dislodging the blood clot, don't brush your teeth or rinse your mouth the first day. Tooth extraction procedure and guidelines. There was a small clot of. Hoffe runs blood tests on patients who the blood clots we hear about which the media claim are very rare are the big blood clots that dentistry ruins health by mercury fillings, root canals, implants, fluoride, pulling wisdom teeth, tooth. After wisdom tooth extraction, a blood clot will form at the site of surgery. Symptoms of dry sockets include an unpleasant taste in your mouth. There are currently 14 wisdom teeth removal + blood clot questions and doctor answers on realself. 1,911 blood clot premium high res photos. 2391 x 2334 jpeg 369 кб.
Wisdom teeth are the last set of teeth to erupt and are usually causing issues to your oral health wisdom teeth real pictures. After your oral surgery for all dental surgery patients: